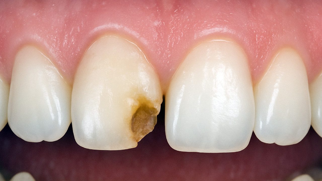
Dental Crowns & Tooth Caps
at Alpha Dental Care

If a tooth is cracked, weakened after a root canal, or has a large filling, a dental crown can protect it and restore its strength.

What are Dental Crowns?

A crown is a custom-made cap that fits over your tooth, giving it back its shape and natural appearance. We take impressions to ensure a perfect fit and colour-match the crown to your existing teeth. This treatment is carried out comfortably with local anaesthetic, and any mild sensitivity soon settles. With a dental crown, it won’t be long until you’re biting, chewing and smiling with confidence again.
Depending on your needs, we may also recommend veneers for cosmetic improvements, dental bridges to replace missing teeth, or fillings for smaller areas of decay.
Before-dental-crown-treatment After-Dental-Crown-Treatment

Benefits of Dental Crowns

Find your local Alpha Dental Care practice offering Crowns treatment across the United Kingdom.

Dental Crown FAQ's

With good care, most crowns last 10–15 years, and sometimes much longer. Regular checkups and good brushing help them last as long as possible.
Crowns required for a clinical reason can be performed on NHS dental treatment plans.
NHS crowns are set at a standard Band 3 charge. Private crowns vary in price depending on the material you choose, such as porcelain, ceramic, or zirconia, which can offer a more natural look. For full details, please contact your dentist.
Yes, it is common to require a crown after a root canal to protect your tooth in the future.

Clear Braces

Discreet and removable orthodontic trays that gradually straighten teeth, ideal for correcting mild to moderate misalignment without the need for metal braces.

Crowns

Custom-made crowns that cover and protect damaged, weakened, or decayed teeth. Restores the tooth’s shape, strength, and appearance while preventing further damage.

Dental Bridges

Dental bridges are a reliable way to replace one or more missing teeth, restoring both function and appearance. Custom-made from materials like porcelain or ceramic, they fill the gap by anchoring to the surrounding teeth for a natural-looking smile.

Dental Fillings

Effective treatment for cavities and minor tooth damage. Fillings help prevent further decay by sealing the affected area, preserving natural tooth integrity and supporting long-term oral health.​

Dental Health Checkup

Regular dental check-ups are key to maintaining a healthy mouth. This essential appointment helps detect early signs of decay, gum disease, or other concerns, ensuring your teeth and gums stay in top condition.

Dental Implants

Implants provide a long-lasting, natural-looking solution for missing teeth. Surgically placed into the jawbone, these titanium posts act as strong and stable foundations for crowns, bridges, or dentures.

Dental Veneers

Veneers are thin, custom-made shells that cover the front of your teeth to improve shape, colour, and alignment. Ideal for correcting chips, gaps, or discolouration with a natural-looking result.

Dentures

Custom-made removable appliances used to fit comfortably and securely, offering a reliable solution for replacing missing teeth. Designed to restore oral function, they enhance your ability to eat, speak, and smile.

Emergency Appointment

Our emergency dental appointments are available for both new and existing patients, providing urgent care for issues such as severe toothaches, broken or knocked-out teeth, infections, and other dental concerns.

Invisalign

A discreet, comfortable way to straighten teeth using  custom-made, removable aligners, ensuring oral hygiene is maintained. Ideal for those seeking an alternative to traditional braces without metal wires or brackets.

New Patient Exam

New patients undergo a comprehensive assessment to evaluate overall dental health. During this visit, our team will conduct a thorough examination, reviewing your medical and dental history, a full oral health check, and any necessary imaging.

Periodontal Therapy

Comprehensive treatment for gum disease, focusing on deep cleaning, inflammation reduction, and gum health restoration. This therapy helps prevent further damage to the gums and supporting structures, promoting long-term oral health.

Root Canal

A highly effective procedure to treat infection within the tooth, removing inflamed or damaged pulp, alleviating pain and preventing the need for extraction. Root canal treatment restores function and protects against further infection.

Routine Hygiene Services

Routine hygiene services involve a thorough cleaning to remove plaque and tartar buildup, helping to prevent gum disease, tooth decay, and bad breath. We also provide tailored oral health advice, helping you maintain a healthy smile.

Routine Private Exam

Regular dental checkups that include a thorough assessment of your teeth, gums, and overall oral health, allowing us to detect any early signs of decay, gum disease, or other concerns before they become more serious.

Teeth Whitening

Our professional teeth whitening treatments effectively remove stains and discoloration caused by food, drinks, and daily wear, helping you achieve a whiter, more radiant smile. Whitening treatments are designed to enhance your natural tooth color while protecting your enamel.

Dr. Hossam Harisha

Implant Dentist

GDC: 275809

BDS, MFDS RCS (Glasgow)
MSc implant biomaterial and PGCert (New York, USA) (Restorative and Implant Dentistry)
PGCert dental sedation (Manchester)

Dr Harisha is a founding member of Academy of Implant Dentistry in Tripoli (LADI). Dr Harisha involved in undergraduate and postgraduate teaching at New York University-USA and received certificate for his contributions to the college. Sam awarded PGcert in dental sedation (Manchester)and awarded MSc degree from New York University college of Dentistry in 2013.

Play Video

Awarded a certificate of advanced speciality program in Fixed, removable Prosthodontics and Implants from New York University-USA-2012. And awarded a certificate in Comprehensive cosmetic Dentistry from New York University-USA 2010. His commitment to professional development seemingly knows no limits. He treats a variety of very complex patients including teeth wear, replacing teeth with implants for full mouth to single missing tooth.

For the past 8 years, Dr Harisha has been focusing more to be a full-time Implant Dentist with his main focus being on surgery and restoring teeth with implants using latest digital guidance to reduce complications. Dr Harisha also integrates conscious sedation as an alternative route for treatment of complex anxious cases. He places more than 200 implants a year and performs many implants related procedures such as bone grafting, soft tissue grafting and sinus lifts. He is involved in hands on courses inside and outside the country. Graduated from Faculty of Dentistry of Tripoli University, BDS 2005.

Leigh Sargent

Dental Therapist

GDC: 192590

BSc Hons Dental Hygiene & Dental Therapy Teesside University 2021
NVQ L3 Dental Nursing & VRQ L3 Dental Nursing City & Guilds 201

Orthodontic Treatment

Orthodontic treatment helps straighten teeth and improve your bite. Using clear aligners or other solutions, it not only enhances the appearance of your smile but also supports long-term dental health by making teeth easier to clean and maintain.

Dr Daniel Chia

Dentist

Dr. Chia is an experienced dentist with a Master’s degree in Clinical Orthodontics (MSc), specialising in both Invisalign and fixed braces treatments. With advanced training in orthodontics, he brings a wealth of expertise to every patient, ensuring they receive personalised, high-quality care tailored to their specific needs.

Whether you’re looking for the discreet option of Invisalign or the tried-and-true effectiveness of fixed braces, Dr. Chia offers a range of treatments to help you achieve a beautiful, aligned smile. By using the latest techniques in both clear aligner technology and traditional braces, he creates customised treatment plans that deliver precise, effective, and comfortable results.

Invisalign provides a discreet, flexible, and comfortable alternative for those looking to straighten their teeth with clear, removable aligners. However, for certain cases, fixed braces may be the more appropriate solution, and Dr. Chia is skilled in offering both options to ensure the best outcome for your unique smile.

Ready to take the first step towards your perfect smile? Book a consultation with Dr. Chia today to discuss the best treatment for you!

Dr Rashmi Shenoy

Dental Implants & Conscious Sedation

GDC: 149773

Rashmi qualified from the MUHS university in India in 2005 and relocated to England in 2007. She has strived to keep up to date with the current thinking in dentistry, and to support this, she gained her Membership of the Joint Dental Faculties (MJDF) qualification from the Royal College of Surgeons in 2011. Although most aspects of dentistry appeal to Rashmi, she has always had a special interest in Conscious sedation and Dental Implantology.
Following her passion to help patients relax during their dental treatments, Rashmi gained her Diploma in Conscious Sedation from Newcastle University in 2011.

In addition, she started her journey in Implant dentistry by completing a one year certificate course in Implantology in 2018 and attended further courses to keep abreast with new developments in dental implants. With the aim to further her knowledge and gain credentials, she is in the process of completing her Postgraduate diploma PGDip(Dent Imp) through Cambridge Academy of Dental Implantology.
When not at work, Rashmi enjoys spending time with her family. She believes in staying fit, enjoys running and swimming.

Dr Khatoon Habibi Dooraki (Mona)

General Dentist (Restorative Focus)

Multilingual, PGCert Endodontics / PG student in Conscious Sedation

GDC: 244944

Mona joined our team with a diverse academic background and a strong commitment to patient-centred care. Originally from Iran, she moved to the UK in 2007, having previously earned a degree in Microbiology, insurance management and an MBA from the University of Tehran. Her passion for healthcare led her to begin working as a dental nurse, eventually inspiring her to study Dentistry at Newcastle University.

After completing her foundation training in Gateshead, she established her dental career in Catterick, providing both NHS and private dental treatments. Mona enjoys all areas of dentistry, with a particular focus on restorative care. She has completed a Postgraduate Certificate in Endodontics from the University of Chester and plans to return next year to complete a Master’s degree in the field. This September, she will begin further postgraduate training in Conscious Sedation at Newcastle University.

Known for her gentle, thorough approach, she takes pride in creating a calm and welcoming environment for her patients. Fluent in both English and Farsi, she values clear communication and building trust with every individual she treats.

Outside of the clinic, Mona enjoys travelling, exploring art, music, and culture, and spending time with her young family. She’s also a keen hiker, gardener, and a passionate cook — especially when trying new international recipes.

Emily Lovegreen

Dentist

Emily graduated from Queen’s University Belfast in 2013, and following her General Professional training, she went on to complete a Senior House Officer year in Oral and Maxillofacial Surgery at The James Cook University Hospital. Emily continues to work there as a Speciality Doctor in Oral Surgery, and has recently joined the Sleep Apnoea Team at the hospital providing Mandibular Advancement devices as an alternative to CPAP. Emily joined Alpha Dental Care in 2016 as an Associate Dentist. Her interests lie in Oral Surgery, Restorative Aesthetic Dentistry and Facial Aesthetics, where she is an advanced practitioner, providing anti-wrinkle treatments and dermal fillers. More recently, Emily has developed an interest in Anti-Snoring devices. Emily is a SmileFast provider, a revolutionary same day cutting-edge composite veneers placement.
Emily was brought up and still lives locally with her Husband and two children. In her spare time, you can find her helping on the family farm, tending to her vegetable garden and cooking up a storm in her kitchen. She has a passion for ultralow processed foods, she even makes her own bread. Recently Emily has taken up tennis, but she informs us not to worry as her skills are better in dentistry than on the court and won’t be quitting her day job anytime soon.

Tooth Extraction

A tooth extraction is the removal of a tooth from its socket in the jawbone. It may be needed for reasons such as severe decay, infection, damage, or to make space for orthodontic treatment. The procedure is carried out with gentle care to ensure your comfort and promote healing.

Jeen Sylvian

Dentist
GDC: 321328

Attended Grado en Odontologia Universidad Europea De Madrid 2024.

Delivering Dental EssentialsCosmetic dentistry.

Sedation

Sedation dentistry eases dental anxiety and discomfort by calming the nervous system, enabling safe, stress-free care while maintaining your natural awareness and cooperation.

Phil Broughton

Dentist (Implantologist)

We are delighted to announce that Phil Broughton, is returning back to his home town and joining us here at M60. Phil has enjoyed a wonderful career, delivering dentistry at the highest level for over 30 years. He now focuses on more complex dental rehabilitation and implant cases, having placed over 4000 dental implants since 2001.
Before selling his award winning clinic in Manchester city centre, Phil travelled the world working alongside the very best in Italy, Spain and America. Phil has lectured for international Implant companies and ran a successful Dental Academy for qualified dentists and their teams.

CBCT Form

Confirmation of IRMER Referrer Training
I have undertaken training to satisfy the minimum criteria as a IRMER Referrer/CBCT which is covered on pages 49-53 of the Guidance of Safe Use of Dental CBCT Equipment.

Maxillofacial Minor Oral Surgery

Oral and Maxillofacial Surgery specialises in diagnosing and treating diseases affecting the mouth, jaws, face, and neck. Surgeons handle complex conditions, including facial trauma, jaw misalignment, and oral cancers.

Botox Treatment

Anti-wrinkle (Botox®) treatment involves carefully placed injections that relax specific facial muscles to reduce lines and wrinkles. Common areas include the forehead, frown lines, and around the eyes, as well as the jaw for tension or teeth grinding. Treatments are quick, minimally uncomfortable, and deliver natural-looking results that usually last 3–4 months.

Matthew Hodgson

Clinical Lead

GDC: 244944

I qualified from the University of Newcastle upon Tyne in 2013, with Merit in Clinical Dentistry and the NEMLS prize. I then completed my foundation training year, and was awarded the FGDP prize. I joined Linden Cottage in 2022, and also act as Clinical Lead within the practice.
I have always been committed to postgraduate education, and in 2019 passed membership examinations with the Royal College of Surgeons of Edinburgh. I enjoy providing a very wide range of general and aesthetic dental treatments, examples of which are available on my Instagram page. I hold a Postgraduate Diploma in Endodontics (Root Canal Treatment) and work with the benefit of a state-of-the-art operating microscope. This often allows me to save teeth, that may have otherwise been extracted. Outside of work, I’m a keen musician. I enjoy reading and travelling with my wife, Zeynep.

Alex Halim

Dentist

I qualified from Newcastle University in 2023, following which I remained in the northeast to complete my foundation training. I have a passion for endodontics and restorative dentistry. Currently, I am completing postgraduate training in endodontics where I will continually develop my skillset to restore teeth to a high standard. My Instagram page displays treatment and useful information that I have developed. My hobbies include salsa dancing every week and cycling. I often enjoy travelling to different countries for dance.

Dr. Sonam Thakkar

Associate Dentist

BDS (Hons) MFDS RCPS (Glag)
Dr Sonam is an enthusiastic and dedicated Dentist with a strong educational background. She graduated from the prestigious King’s College London with Honours (Distinction).

Her commitment to the profession has led her to embark on multiple post-graduate courses. This includes facial aesthetics (anti-wrinkle treatment and dermal fillers) to allow her to enhance natural beauty to restore youth and confidence in her patients. She has also completed further training in composite (white fillings) to ensure she is providing optimal, high quality dental care utilising the most advanced treatments available.
As well as this, she has previously worked in a hospital setting where she enhanced her oral surgery and dental extraction skills.

With a calm and composed demeanour, Dr. Sonam approaches each patient with empathy and understanding. Whether it’s a routine check-up or a complex procedure, she ensures that every individual feels comfortable and cared for throughout their visit.

Outside of the clinic, you will find Sonam playing badminton and experiencing new cultures visiting countries all over the world through her love of travelling!

Jose Silva

Orthodontic Dentist

Jose graduated in Lisbon, Portugal in 2010 with an integrated master degree in Dentistry and a published clinical trial master thesis. There, he worked for a year before coming to the UK. In 2011 Jose moved to Birmingham where he has been practicing general dentistry which he still does to this day as the clinical lead.

In 2014, Jose took a short course in quick straight teeth and since then orthodontics became his number one passion in dentistry. From there he developed a special interest in orthodontics, taking multiple PGA and advanced clinical training in this field, including a PGA in Orthodontic and facial Orthopaedics at The City of London Dental School.

Now Jose provides high quality orthodontic treatments to patients all ages in both NHS and private settings. Including comprehensive conventional metal braces and highly cosmetic braces such as ceramic braces and aligners.
He also loves interceptive cases with functional appliances which target growth.

He has a strong belief it is key to intervene at the right age for optimal results and unlock the best facial aesthetics.
Growing up close to the beach Jose became passionate about the sea and its water sports such as surfing and sailing. Now living in the beautiful British countryside he enjoys gardening, horse riding and swimming.

Mustafa Makda

Implant Dentist

I graduated from the University of Manchester and have since worked in both hospital and general practice settings. I undertook my implant training at the prestigious British Academy of Implant and Restorative Dentistry, and have continued to develop my surgical training globally whilst providing implant dentistry across the Midlands.
Having previously worked as a maxillofacial SHO in hospital and Special-Care, I have gained experience with surgical procedures, children’s dentistry, complex dentistry, and dental phobic patients. I am also certified in multiple leading systems such as Straumann™ digitally-guided implants, which use the latest cutting-edge technology. I was recognised with a national award in 2021 for “Young Dentist of the Year“.
As a dentist, I pride myself on my ability to listen to patients and provide tailor-made solutions for them. I find great satisfaction in restoring self-esteem and comfort in patients through natural looking smiles and am super proud of the beautiful smiles I create and the confidence this gives back to my patients. Outside of work, you will often find me training in mixed martial arts or enjoying the great outdoors. I am also a keen open water swimmer, regardless of the weather!

Dr Kush Patel

Orthodontics & Advanced Smile Alignment

Dr Patel combines over a decade of clinical dentistry with focused orthodontic training and experience in both NHS and private settings. His approach centres on safe diagnosis, structured treatment planning, and delivering predictable, high-quality orthodontic outcomes.

Education & Training
BDS – University of Manchester (2007)
Completed a comprehensive year-long postgraduate orthodontic programme covering assessment, diagnosis, treatment planning, fixed appliance systems, and aligner therapy.
Six Month Smiles Accredited Provider.

Clinical Experience

  • 5 years of general orthodontic experience in practice
  • 3 years of NHS orthodontic experience
  • Experience managing cases from mild crowding through to more complex malocclusions within scope


Specialist Interests

  • Fixed appliance orthodontics
  • Short-term cosmetic orthodontics
  • Adult orthodontics

Dr Kamila Patel

Dentist

GDC: 245190

Dr Kamila Patel graduated from the University of Birmingham in 2013 and has been dedicated to providing warm, compassionate dental care ever since.

With a focus on general dentistry, she takes special pride in helping patients feel at ease, especially those who may feel anxious about their visits.

She has completed advanced training at Aspire Dental Academy in restorative and aesthetic dentistry, as well as Endodontics, to offer her patients a high standard of care. Outside of the practice, she’s kept on her toes by her new baby girl, Kamila looks forward to welcoming you to the practice.

Aisha Nasir

Dentist

GDC: 256684

Aisha graduated from the Army Medical College (AMC) in 2008 and became registered with the UK General Dental Council in 2015.
She is committed to delivering the highest standard of dental care, combining her expertise with a warm, attentive approach that puts patients at ease. Aisha is particularly passionate about creating beautiful smiles with Invisalign aligners. She takes pride in building strong connections with her patients, making each visit comfortable and stress-free. Outside of her practice, Aisha enjoys walking, cooking, staying fit, and spending quality time with her two children.

Kate Ashby

Dental Nurse

GDC: 138817

Kate Started her career in 2003 and after qualifying in 2005at Birmingham dental school and when the law changed she became registered with the GDC in 2008. Kate is qualified in taking dental impressions in 2013 also is a qualified assessor in 2023 and is awaiting to start her Oral Health Practitioners course . Kate has a passion for teaching patients on their oral health and helping with finding alternatives for people with ADHD and who are on the autism spectrum and with chronic conditions that affect their oral health such as people with all four types of diabetes. Outside of dentistry, Kate is an avid sewer and whilst on lock down was making scrubs and headbands for the NHS and is currently making patient telemetry bags for patients for Leicestershire hospitals. Also, Kate is an avid cook and likes to try different recipes, especially for the low glycemic index diet.
Since moving to Leicestershire from Coventry in 2013 Kate enjoys the great outdoors and enjoys walking and driving in the Leicestershire countryside. Also, Kate is the proud human of two cats Eric and Charlie the tripod, who were featured on Professor Noel Fitzpatrick Facebook page in April 2022.

Sarah Cumberland

Dental Hygienist

Sarah started her career in Dentistry in 1997 as a Trainee Dental Nurse, joining Charnwood Dental in 1998. On completion of her dental nurse qualification in 1999, she moved to Newcastle-upon-Tyne to study Dental Hygiene, qualifying in December 2001. Sarah returned to Charnwood Dental, resituated in The Bull Ring, to establish the role of Dental Hygienist in January 2002. Sarah Is dedicated to providing a high standard of care to her patients, works closely with fellow clinicians, and supports the committed team of Dental Nurses, Reception staff and Practice Manager. Outside of work, Sarah will generally be found with her head stuck in a book, and is passionate about promoting the benefits of reading! She has recently started growing fruit and vegetables to fuel her love for cooking, and regularly receives compliments for her work lunches. Sarah has recently started open water swimming at Six Hills and Spring Lakes.

Elizabeth Freeman

Receptionist

Lizi has been with the practice since 2021 initially as a dental nurse and more recently as a receptionist.
Lizi prides herself on her costumer service and her bubbly personally always shine through. In her spare time Lizi enjoys spending her time with her friends and family.

Helen Farnsworth

Receptionist

Helen started working at Charnwood Dental in 2013 as a full time receptionist. In 2018, she dropped 1 day to look after her grandchildren. Helen now works 4 days on reception.

Helen is a dedicated receptionist and a valued member of the team. Known for her exceptional organisational skills and friendly manner, she has remarkable ability to manage multiple tasks while providing a warm and welcoming environment for our patients.

In Helen’s spare time she enjoys spending time with her family including her 3 daughters and 2 grandchildren going out for food and drinks and theatre trips especially musicals. Another thing she enjoys is taking touring caravan for breaks around the UK.

Peter Duncan

Dentist

Peter graduated from Queen’s University Belfast in 2024, with distinction in oral surgery, oral medicine, and oral pathology.
He enjoys all areas of general dentistry and has a particular interest in restorative dentistry. He is due to complete a diploma in restorative and aesthetic dentistry within the next year. Originally from Belfast, Peter now lives in Newcastle with his partner. Outside of dentistry, he enjoys playing and watching football, as well as performing the occasional music gig at venues around the city.

Prateek Akhoury

Private & NHS Dentist

I graduated from the University of Sheffield in 2014 and have since worked in a variety of practices across the country, gaining experience treating a wide range of patients with differing needs. Throughout my career, I have completed numerous postgraduate courses to ensure I remain up to date with modern dentistry and best clinical practices.
I provide IV sedation for patients who experience dental anxiety, allowing necessary treatment to be carried out comfortably and safely. I have also helped many patients with a strong gag reflex to receive the care they need through IV sedation. I have a special interest in oral surgery and regularly treat patients requiring wisdom tooth removal or more complex extractions, including badly broken teeth or retained roots that are causing pain. I particularly enjoy working with anxious and nervous patients, even when sedation is not required. All treatment is delivered at a pace the patient feels comfortable with, ensuring a calm and supportive experience.

Sarah Wood

Dentist

Specialty: Orthodontics
Available Days: 2 Fridays per month